Ovalocyte
From Opengenome.net
Jump to:
navigation
,
search
Share
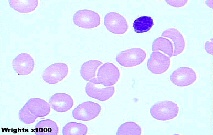
정의
유전성 타원적혈구증, 용혈성 빈혈, 지중해빈혈 환자에게 발견되는 타원형적혈구로 유전적 요인과 관계가 있음.
<그림출처 : 구글 이미지>
Navigation menu
Views
Page
Discussion
View source
History
Personal tools
Create account
Log in
Related Links
kpgp.kr
opengenome.kr
totalomics.kr
pgi.re.kr
therabio.kr
Advertisements
Share
Search
Tools
What links here
Related changes
Special pages
Printable version
Permanent link
Page information
Cite this page
Related Links[
Edit
]
No Link...